Plaque Bij Alzheimer .   scientists are working to develop new treatments for alzheimer's disease by looking beyond amyloid plaques, which have been the focus of most.   in the brain of someone with alzheimer's disease, amyloid plaques form and tau proteins change shape and.   here, we review the current knowledge about neuritic plaques, a subset of aβ plaques surrounded by swollen or. A 1989 discovery of a different.   what if the plaques that collect as alzheimer’s disease progresses don’t cause patients’ symptoms?
        
        from www.studocu.com 
     
        
          scientists are working to develop new treatments for alzheimer's disease by looking beyond amyloid plaques, which have been the focus of most.   what if the plaques that collect as alzheimer’s disease progresses don’t cause patients’ symptoms?   in the brain of someone with alzheimer's disease, amyloid plaques form and tau proteins change shape and. A 1989 discovery of a different.   here, we review the current knowledge about neuritic plaques, a subset of aβ plaques surrounded by swollen or.
    
    	
            
	
		 
         
    Alzheimers Disease Alzheimer’s Disease Pathophysiology Amyloid 
    Plaque Bij Alzheimer    what if the plaques that collect as alzheimer’s disease progresses don’t cause patients’ symptoms?   here, we review the current knowledge about neuritic plaques, a subset of aβ plaques surrounded by swollen or.   scientists are working to develop new treatments for alzheimer's disease by looking beyond amyloid plaques, which have been the focus of most. A 1989 discovery of a different.   in the brain of someone with alzheimer's disease, amyloid plaques form and tau proteins change shape and.   what if the plaques that collect as alzheimer’s disease progresses don’t cause patients’ symptoms?
            
	
		 
         
 
    
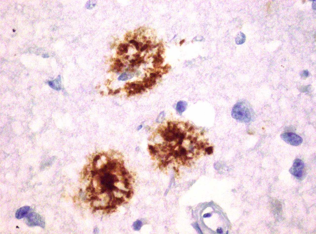
        From www.science.org 
                    The molecular basis of Alzheimer's plaques Science Plaque Bij Alzheimer    scientists are working to develop new treatments for alzheimer's disease by looking beyond amyloid plaques, which have been the focus of most.   what if the plaques that collect as alzheimer’s disease progresses don’t cause patients’ symptoms?   here, we review the current knowledge about neuritic plaques, a subset of aβ plaques surrounded by swollen or. A 1989 discovery. Plaque Bij Alzheimer.
     
    
        From klazienaveen.nu 
                    Alzheimerplaques kunnen bijdragen aan gehoorverlies Plaque Bij Alzheimer    scientists are working to develop new treatments for alzheimer's disease by looking beyond amyloid plaques, which have been the focus of most.   what if the plaques that collect as alzheimer’s disease progresses don’t cause patients’ symptoms?   in the brain of someone with alzheimer's disease, amyloid plaques form and tau proteins change shape and.   here, we review. Plaque Bij Alzheimer.
     
    
        From pharmaceutical-journal.com 
                    New biologic is active against Alzheimer’s amyloid plaques The Plaque Bij Alzheimer    what if the plaques that collect as alzheimer’s disease progresses don’t cause patients’ symptoms?   scientists are working to develop new treatments for alzheimer's disease by looking beyond amyloid plaques, which have been the focus of most. A 1989 discovery of a different.   in the brain of someone with alzheimer's disease, amyloid plaques form and tau proteins change. Plaque Bij Alzheimer.
     
    
        From pixels.com 
                    Amyloid Plaques In Alzheimer's Disease Photograph by Nobeastsofierce Plaque Bij Alzheimer  A 1989 discovery of a different.   in the brain of someone with alzheimer's disease, amyloid plaques form and tau proteins change shape and.   what if the plaques that collect as alzheimer’s disease progresses don’t cause patients’ symptoms?   here, we review the current knowledge about neuritic plaques, a subset of aβ plaques surrounded by swollen or.   scientists. Plaque Bij Alzheimer.
     
    
        From www.istockphoto.com 
                    10+ Alzheimers Brain Plaque Illustrations, RoyaltyFree Vector Graphics Plaque Bij Alzheimer    scientists are working to develop new treatments for alzheimer's disease by looking beyond amyloid plaques, which have been the focus of most.   in the brain of someone with alzheimer's disease, amyloid plaques form and tau proteins change shape and.   what if the plaques that collect as alzheimer’s disease progresses don’t cause patients’ symptoms? A 1989 discovery of. Plaque Bij Alzheimer.
     
    
        From www.gettyimages.com 
                    Amyloid Plaques In Alzheimers Disease HighRes Stock Photo Getty Images Plaque Bij Alzheimer    in the brain of someone with alzheimer's disease, amyloid plaques form and tau proteins change shape and. A 1989 discovery of a different.   what if the plaques that collect as alzheimer’s disease progresses don’t cause patients’ symptoms?   scientists are working to develop new treatments for alzheimer's disease by looking beyond amyloid plaques, which have been the focus. Plaque Bij Alzheimer.
     
    
        From www.dasgehirn.info 
                    Mediathek Bild Senile Plaques bei Alzheimer Plaque Bij Alzheimer  A 1989 discovery of a different.   in the brain of someone with alzheimer's disease, amyloid plaques form and tau proteins change shape and.   here, we review the current knowledge about neuritic plaques, a subset of aβ plaques surrounded by swollen or.   what if the plaques that collect as alzheimer’s disease progresses don’t cause patients’ symptoms?   scientists. Plaque Bij Alzheimer.
     
    
        From www.upi.com 
                    Amyloid plaques may not cause Alzheimer's disease, study says Plaque Bij Alzheimer    what if the plaques that collect as alzheimer’s disease progresses don’t cause patients’ symptoms? A 1989 discovery of a different.   scientists are working to develop new treatments for alzheimer's disease by looking beyond amyloid plaques, which have been the focus of most.   in the brain of someone with alzheimer's disease, amyloid plaques form and tau proteins change. Plaque Bij Alzheimer.
     
    
        From www.alamy.com 
                    Alzheimer's disease, neuritic plaques Stock Photo Alamy Plaque Bij Alzheimer  A 1989 discovery of a different.   what if the plaques that collect as alzheimer’s disease progresses don’t cause patients’ symptoms?   scientists are working to develop new treatments for alzheimer's disease by looking beyond amyloid plaques, which have been the focus of most.   in the brain of someone with alzheimer's disease, amyloid plaques form and tau proteins change. Plaque Bij Alzheimer.
     
    
        From c2wlabnews.nl 
                    Ziekte van Alzheimer plaques verwarmen zenuwcellen Plaque Bij Alzheimer  A 1989 discovery of a different.   scientists are working to develop new treatments for alzheimer's disease by looking beyond amyloid plaques, which have been the focus of most.   what if the plaques that collect as alzheimer’s disease progresses don’t cause patients’ symptoms?   here, we review the current knowledge about neuritic plaques, a subset of aβ plaques surrounded. Plaque Bij Alzheimer.
     
    
        From www.researchgate.net 
                    Densecore plaques in human Alzheimer’s patients have extracellular Plaque Bij Alzheimer    here, we review the current knowledge about neuritic plaques, a subset of aβ plaques surrounded by swollen or. A 1989 discovery of a different.   what if the plaques that collect as alzheimer’s disease progresses don’t cause patients’ symptoms?   in the brain of someone with alzheimer's disease, amyloid plaques form and tau proteins change shape and.   scientists. Plaque Bij Alzheimer.
     
    
        From www.istockphoto.com 
                    Alzheimers Brain Plaque stock vectors iStock Plaque Bij Alzheimer  A 1989 discovery of a different.   here, we review the current knowledge about neuritic plaques, a subset of aβ plaques surrounded by swollen or.   what if the plaques that collect as alzheimer’s disease progresses don’t cause patients’ symptoms?   scientists are working to develop new treatments for alzheimer's disease by looking beyond amyloid plaques, which have been the. Plaque Bij Alzheimer.
     
    
        From www.dreamstime.com 
                    Amyloidplaque Formation. Alzheimer`s Disease Stock Vector Plaque Bij Alzheimer    here, we review the current knowledge about neuritic plaques, a subset of aβ plaques surrounded by swollen or.   what if the plaques that collect as alzheimer’s disease progresses don’t cause patients’ symptoms?   in the brain of someone with alzheimer's disease, amyloid plaques form and tau proteins change shape and.   scientists are working to develop new treatments. Plaque Bij Alzheimer.
     
    
        From www.alzheimersla.org 
                    Alzheimer's Disease The Basics Alzheimer's Los Angeles Plaque Bij Alzheimer    here, we review the current knowledge about neuritic plaques, a subset of aβ plaques surrounded by swollen or.   in the brain of someone with alzheimer's disease, amyloid plaques form and tau proteins change shape and. A 1989 discovery of a different.   what if the plaques that collect as alzheimer’s disease progresses don’t cause patients’ symptoms?   scientists. Plaque Bij Alzheimer.
     
    
        From fineartamerica.com 
                    Amyloid Plaques In Alzheimer's Disease Photograph by Nobeastsofierce Plaque Bij Alzheimer    in the brain of someone with alzheimer's disease, amyloid plaques form and tau proteins change shape and.   here, we review the current knowledge about neuritic plaques, a subset of aβ plaques surrounded by swollen or.   scientists are working to develop new treatments for alzheimer's disease by looking beyond amyloid plaques, which have been the focus of most.. Plaque Bij Alzheimer.
     
    
        From www.researchgate.net 
                    (A) Three main pathological features of Alzheimer's disease (AD Plaque Bij Alzheimer    here, we review the current knowledge about neuritic plaques, a subset of aβ plaques surrounded by swollen or. A 1989 discovery of a different.   scientists are working to develop new treatments for alzheimer's disease by looking beyond amyloid plaques, which have been the focus of most.   what if the plaques that collect as alzheimer’s disease progresses don’t. Plaque Bij Alzheimer.
     
    
        From www.sciencephoto.com 
                    Amyloid plaques in Alzheimer's disease, illustration Stock Image Plaque Bij Alzheimer    what if the plaques that collect as alzheimer’s disease progresses don’t cause patients’ symptoms?   here, we review the current knowledge about neuritic plaques, a subset of aβ plaques surrounded by swollen or.   in the brain of someone with alzheimer's disease, amyloid plaques form and tau proteins change shape and.   scientists are working to develop new treatments. Plaque Bij Alzheimer.
     
    
        From www.kurzweilai.net 
                    How vitamin D may help clear amyloid plaques found in Alzheimer’s Plaque Bij Alzheimer  A 1989 discovery of a different.   in the brain of someone with alzheimer's disease, amyloid plaques form and tau proteins change shape and.   scientists are working to develop new treatments for alzheimer's disease by looking beyond amyloid plaques, which have been the focus of most.   here, we review the current knowledge about neuritic plaques, a subset of. Plaque Bij Alzheimer.